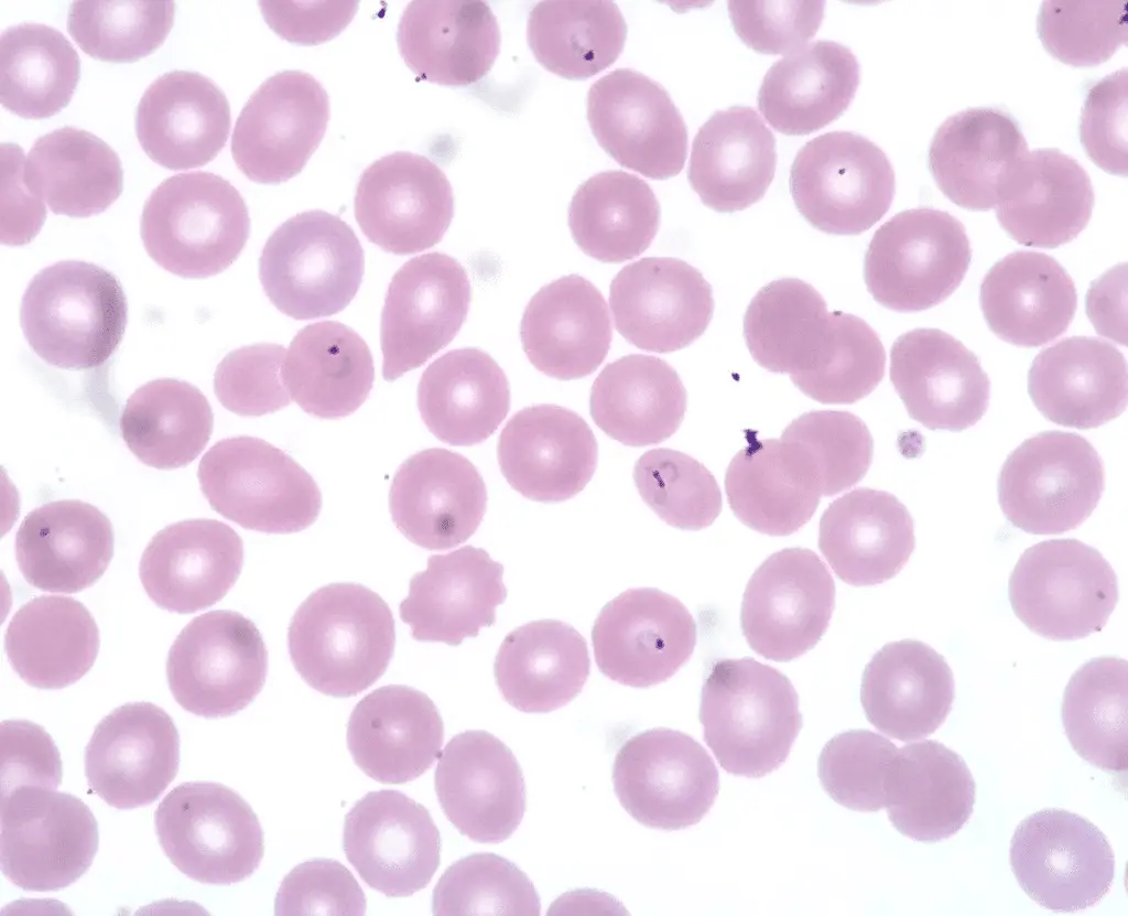
All’interno del parassita della malaria Plasmodium falciparum accade qualcosa di sorprendente: minuscoli cristalli di ferro si muovono senza sosta, ruotando e collidendo in uno spazio microscopico con un comportamento caotico e difficile da osservare.

Per anni questo fenomeno è rimasto un mistero. Quando il parassita è vivo, i cristalli sono in costante movimento; quando muore, si fermano all’istante. Un comportamento così netto da suggerire che non si trattasse di semplice “rumore biologico”, ma di un meccanismo preciso.
Ora, un team dell’Università dello Utah ha finalmente scoperto cosa li mette in moto e la risposta è tanto semplice quanto inaspettata: una reazione chimica simile a quella dei motori a razzo.
Una chimica da razzo… dentro una cellula del parassita della malaria
I cristalli sono composti da eme, una molecola contenente ferro derivata dalla digestione dell’emoglobina. Il parassita la trasforma in una forma cristallina per neutralizzarne la tossicità.
La scoperta chiave è che questi cristalli si muovono grazie alla decomposizione del perossido di idrogeno (H₂O₂), che genera acqua e ossigeno liberando energia.
Tradotto in termini ingegneristici:
- hai un combustibile (perossido di idrogeno)
- hai una reazione esotermica
- ottieni una spinta

È letteralmente un sistema di propulsione chimica in miniatura.
Questa stessa reazione è utilizzata in ambito aerospaziale per alimentare razzi. La differenza? Qui siamo su scala nanometrica e… dentro un organismo vivente.
E soprattutto: non era mai stata osservata prima in un sistema biologico.
Un motore biologico fuori da ogni modello classico
Se la guardi con un occhio “da sviluppatore”, questa cosa rompe un pattern consolidato.
Di solito nei sistemi biologici il movimento è:
- mediato da proteine (motori molecolari)
- o da gradienti chimici controllati
Qui invece hai qualcosa di diverso:
- nessun motore proteico
- nessun controllo diretto
- solo chimica + energia = movimento emergente
È un comportamento più vicino a un sistema fisico non lineare che a una macchina biologica tradizionale.
Ed è probabilmente per questo che per decenni è rimasto un “blind spot”: non rientrava nei modelli mentali standard.
Perché questo movimento è vitale per il parassita
Non è un effetto collaterale. È funzionale.
I ricercatori propongono due vantaggi principali:
1. Detossificazione del perossido
Il perossido di idrogeno è altamente reattivo e dannoso.
Facendolo decomporre, il sistema:
- riduce lo stress ossidativo
- evita danni cellulari

2. Ottimizzazione della gestione del ferro
I cristalli devono accumulare eme.
Se si aggregano:
- perdono superficie attiva
- diventano meno efficienti
Il movimento continuo impedisce questo clustering.
In termini sistemici: il moto mantiene il sistema lontano da stati “bloccati” e inefficaci.
Un bersaglio perfetto per nuovi farmaci
Qui arriva la parte strategica.
Questo meccanismo:
- non esiste nelle cellule umane
- è essenziale per la sopravvivenza del parassita
Traduzione diretta: è un target farmacologico ideale!
Se riesci a bloccare:
- la reazione chimica
- o la superficie dei cristalli
puoi:
- interrompere il sistema
- mandare il parassita in stress chimico
- portarlo alla morte
Con un vantaggio enorme: meno effetti collaterali, perché non stai colpendo processi umani.
Non solo medicina: implicazioni per la nanotecnologia
C’è anche un altro livello, molto interessante.
Questi cristalli rappresentano: il primo esempio noto di nanoparticelle metalliche auto-propellenti in biologia

Questo apre una porta concreta a:
- micro-robot per il rilascio di farmaci
- sistemi autonomi su scala nanometrica
- materiali intelligenti che si muovono senza controllo esterno
In pratica la natura sta già facendo quello che noi stiamo cercando di progettare.
Conclusione
Questa scoperta è un perfetto esempio di come la biologia possa nascondere soluzioni ingegneristiche avanzate sotto forma di fenomeni apparentemente caotici.
Per decenni abbiamo visto questi cristalli muoversi senza capire perché.
Ora sappiamo che non era caos:
era un motore chimico microscopico perfettamente integrato nel sistema del parassita.
E come spesso accade:
- capire il meccanismo
- significa poterlo spegnere
Oppure… copiarlo.